Meet Dr. David Blanchard - Menomonee Falls, WI

All-On-X Full-Mouth Implants

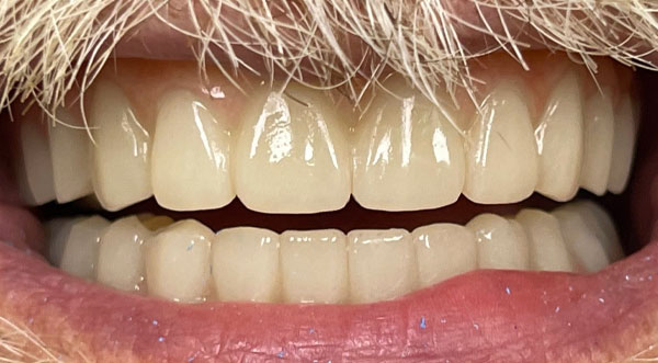
“I Was in Pain For Years…” | Lindsey’s Story

Experience a True Smile Transformation

Recognizing the profound impact of tooth loss, Riverside Family Dental comprehends the intricate connection between functioning, emotional well-being, and overall life quality. Beyond the evident challenges in eating, speaking, and smiling, missing teeth can trigger complications such as tooth shifting, decay, gum disease, and discomforts like TMJ-related pain and sensitivity. However, a solution is at hand.

Through the cutting-edge technology of full arch dental implants, we extend an opportunity to regain self-assurance and elevate your life. Our accomplished implant dentist, Dr. David Blanchard, masterfully merges expertise, state-of-the-art technology, and sedation dentistry to create comprehensive smile transformations. Revel in the joy of eating, enhanced oral health, elevated overall well-being, and a revived enthusiasm for life with full-mouth dental implants!

full arch implant 3d model

Fixed Vs. Removable Options

When envisioning smile restoration, do dentures come to mind? Once a reliable choice, dentures have become outdated. They rely on adhesives and suction for stability—a stark contrast to the durability of full-mouth dental implants. Dentures bring the baggage of jawbone deterioration, leading to facial changes and discomfort. Their lightweight nature poses eating challenges, stealing the joy from meals.

Enter full-mouth dental implants—a resounding success story for many patients seeking solutions to their missing teeth. Securely anchored in the jawbone, they offer a steadfast foundation for your renewed smile, a permanent solution that will last through proper care and check-ups. With full-arch dental implants, limitations vanish. Embrace newfound confidence, relish each bite, and rediscover full functionality.

staff member going over dental treatment information with patient within the dental center

Am I a Candidate for Full Arch Dental Implants?

Determining the suitability of full-mouth dental implants involves carefully considering various essential factors. If you’re dealing with extensive tooth loss, challenges in speaking or chewing, or a dip in self-confidence due to missing teeth, opting for full arch dental implants might be an optimal solution. This choice becomes even more relevant if you’ve faced difficulties or dissatisfaction with conventional dentures or other tooth replacement techniques. Dental implants provide a secure, long-lasting alternative.

It’s paramount to consult with a skilled implant dentist like Dr. Blanchard, who possesses the necessary experience. They can evaluate your oral health, bone density, and overall suitability for the procedure. A personalized assessment for full-mouth dental implants will help determine if they align with your goals. This consultation offers you the chance to restore complete dental functionality, boost your self-assurance, and enjoy a radiant smile that endures time.

The Proof Is In Our Patients

Before After
Before After

Oral Health Meets Financial Wellness

Navigating the financial aspect of full mouth dental implants requires careful consideration and planning. While dental implant procedures can initially seem expensive, it’s important to recognize that they offer substantial long-term benefits regarding oral health, functionality, and confidence.

We provide flexible payment options and financing plans to help make the cost of dental implants more manageable. Investing in dental implants can save time by avoiding the ongoing expenses of maintaining and replacing traditional dentures or bridges. Prioritizing oral well-being through dental implants can contribute to a healthier future and an improved quality of life.